Was ist ein PDA (persistierender Ductus arteriosus)?
Der persistierende Ductus arteriosus botalli (PDA) gehört mit der Subaortenstenose und der Pulmonalstenose zu den 3 häufigsten kongenitalen (angeborenen) Herzerkrankungen beim Hund. Diese fehlerhafte Verbindung von der Hauptschlagader (Aorta) mit der Lungenschlagader (Pulmonalarterie) stammt ursprünglich von einem Überrest der Kreislaufsituation im Mutterleib.
Da das ungeborene Tier (oder Mensch) noch nicht atmet, muß auch seine Lunge noch nicht durchblutet werden. Das Blut aus der rechten Herzkammer wird daher über den PDA in die Hauptschlagader und somit in den Körper umgeleitet, damit es nicht unnötigerweise in die Lunge fließt. Nach der Geburt verschließt sich dieser PDA normalerweise spontan. Bei wenigen Tieren verbleibt diese Verbindung auch noch nach der Geburt bestehen.

Welche Hunderassen bzw. Tiere bekommen einen PDA?
PDA's können bei allen Rassen vorkommen. Besonders häufig betroffene Rassen sind:
| Mini- und Zwergpudel | Collie | Pomeraner |
| Deutscher Schäferhund | Cocker Spaniel | Sheltie |
| Bobtail | Malteser | Yorkies |
| Rottweiler | Wolfsspitz (Keeshond) |
Was passiert bei einem PDA?
Die Flußrichtung des Blutes im PDA ist nach der Geburt des Tieres jedoch umgekehrt als noch im Mutterleib. Das sauerstoffreiche Blut fließt über den PDA gleich noch einmal über die Lungenschlagader in die Lunge, da nach der Geburt der Druck in der Hauptschlagader höher als in der Lungenschlagader ist. Das sauerstoffverbrauchte Blut aus der rechten Herzkammer mischt sich mit dem sauerstoffreichen Blut aus der Hauptschlagader in der Lungenschlagader.
Welche Auswirkungen hat ein PDA auf den Körper?
Ein PDA führt somit zu einer zu starken Lungendurchblutung. Auf Dauer führt dies zu einer Überlastung des Herzens, was zu einer Herzschwäche führen kann. Durch den hohen Blutdruck in den Lungengefäßen besteht die Gefahr von irreparablen Schäden an den Lungengefäßen, es kann dann zu einer pulmonalen Hypertonie (Hochdruck in den Lungegefäßen) kommen, wodurch sich auch die Richtung des Blutflusses ändern kann. Dies ist besonders deshalb problematisch, da nun der Defekt nicht mehr behoben werden kann.
Obwohl manche Hunde mit einem PDA (= persistierender Ductus Arteriosus) jahrelang mehr oder weniger beschwerdefrei leben können, entwickeln die meisten unbehandelten Hunden früher oder später ein Herzversagen und sterben oft schon in jungen Jahren. Deswegen ist ein Eingriff in jedem Fall empfohlen, und zwar besser früher als später, bevor sich bereits Folgeschäden am Herzen gebildet haben.
Welche Krankheitsanzeichen zeigen Tiere mit PDA?
Viele Hund mit einem Links-Rechts-PDA zeigen anfangs keine klinische Symptome, die einem Besitzer auffallen würden. Wenn ein PDA allerdings nicht behandelt oder nicht bei einer Impfung entdeckt wird, so entwickeln ca 65% der Hunde Linksherzversagen (Entwicklung eines Lungenödems) und sterben innerhalb des ersten Lebensjahres.
Symptome von Linksherzversagen sind:
Kurzatmigkeit/Atemnot
Husten
Leistungsschwäche
Wenn sich ein Rechts-Links-Shunt entwickelt hat, können Hunde folgende Symptome zeigen:
Blaue Schleimhäute (oft entwickelt sich eine sogenannte Differentialzyanose mit blauen Schleimhäten im hinteren Bereich des Körpers, z.B. Vulva, Penis, aber nicht vorne, z.B. am Kopf)
Kollaps va. der Hinterbeine beim Spielen/Leistung
Ohnmachtsanfälle
Lethargie
Wie wird die Diagnose gestellt - die klinische Untersuchung?
Die klinische Untersuchung bringt wertvolle Hinweise auf die Ursache eines Herzgeräusches und ist für den erfahrenen Tierarzt/Kardiologen im Falle eines PDA's oft so typisch, dass eine Verdachtsdiagnose auf einen PDA schon nach einer Untersuchung mit hoher Wahrscheinlichkeit gestellt werden kann (natürlich muss die Verdachtsdiagnose immer durch weitere Untersuchungen bestätigt werden).
Man sucht nach dem typischen Herzgeräusch eines Ductus arteriosus (eine kontinuierliches Geräusch, das klingt, als ob Wind durch einen Tunnel bläst). Man hört es am besten über dem 2. Zwischenrippenbereich links, also dem Areal der Pulmonalklappe. Manchmal wird dieses typische Herzgeräusch nicht gehört und die Diagnose wird verpasst- dies kann passieren, wenn der Tierarzt nicht genügend weit vorne unter der Schulter abhört. Hier ist ein Hörbeispiel eines typischen PDA.
Oft kann man ein Schwirren über dem offenen Ductus (verursacht durch den teilweise massiv gesteigerten Fluss durch den Ductus) mit der Hand am Brustkorb erfühlen. Selten sind Blauverfärbungen der Haut und der Schleimhäute.
Die Amplitude des Blutdruckes ist oft erhöht, d.h. der systolische (= oberer) Blutdruckwert ist erhöht und der diastolische(= unterer) Wert erniedrigt. Dies führt zu einem sehr deutlich zu spürenden Puls.
Bei einem Rechts-Links-Shunt verschwindet das Herzgeräusch meist, aber es kann sich ein gesplitteter zweiter Herzton entwickeln. Typisch für einen Rechts-Links-Shunt ist eine Differentialzyanose, sowie eine Polyzythämie.
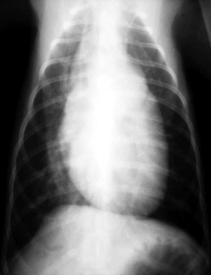
Wie sieht ein Röntgenbild von einem Tier mit PDA aus?
Röntgenbild:
Die Röntgenbefunde sind abhängig von der Größe des Defektes. Bei kleinen Defekten ist das Röntgenbild unauffällig oder nur leicht verändert. Bei größeren Defekten vergrößert sich das Herz und man sieht die Zeichen der vermehrten Lungendurchblutung. Auffällig sind in den meisten Fällen von PDA's bei Hunden eine deutliche Kardiomegalie.
Was zeigt das EKG bei einem Tier mit einem PDA?
Typische EKG Veränderungen sind eine Hypervoltage (Vergrößerung der R-Zacken). PDA's gehören zu den Erkrankungen beim Hund und der Katze, die die größten R-Zacken hervorrufen (aufgrund einer Linksventrikulären Dilattation). 
Was zeigt der Herzultraschall bei einem PDA?
Die Herzultraschall Untersuchung ist die wichtigste Methode zur Diagnosestellung. Die Qualität der Bilder ist abhängig von dem vorhandenen Ultraschallgerät, sowie vorallem der Ausbildung und Erfahrung des Kardiologen/Tierarztes.
Ein typischer Echo-Befund bei einem PDA ist die Volumenüberladung des linken Ventrikels und Vorhofs:

Die linke Kammer ist dilatiert, ebenso wie der linke Vorhof
Bei größeren Defekten kann man die Vergrößerung der linken und rechten Herzkammer und die Verdickung der Wände der rechten Herzkammer (bei pulmonaler Hypertonie) erkennen.
Zudem werden über Doppler Messungen die Drücke in der Aorta und Pulmonalarterie gemessen, um so zu bestimmen, ob die Gefahr besteht, dass schon bald eine pulmonäre Hypertonie vorliegt und sich ein Rechts-Linksshunt entwickelt, bei dem ein Verschluss kontraindiziert wäre.
Mittels einer CW-Dopplermessung kann die Geschwindigkeit im PDA und damit mittels der modifizierten Bernoulli Gleichung (4 x V2) der Druckgradient zwischen Aorta und Pulmonalarterie bestimmt werden. Normal ist ein Wert von ca 100 mmHg. Wenn dieser Druckuntersxchied zwischen Aorta und Pulmonalarterie sinkt, bedeutet dies, dass der Druck in der Pulmonalarterie erhöht ist, also dass sich eine pulmonäre Hypertonie entwickelt hat. Umso höher die pulmonäre Hypertonie ist, desto grösser ist die Gefahr, dass sich eine Flußumkehr des PDA zu einem Rechts-Links-Shunt entwickelt. Hier ist dann ein Verschluss des PDA kontraindiziert.
Die direkte Darstellung des offenen Ductus gelingt in der Hand erfahrener Untersucher meistens. Hier kann zum einen die Form des Ductus, sowie die Grösse bestimmt werden, um so die Auswahl eines geeigneten Coils für die Therapie mittels einer Coil-Embolisation zu treffen (siehe unten).
Ao: Aorta, D: Ductus arteriosus (PDA), PA: Pulmonalarterie, LPA: linke Pulmalarterie
Mittels einer Farbdoppleruntersuchung kann der Blutfluss durch den PDA dargestellt werden:
Ao: Aorta, D: Ductus arteriosus (PDA), PA: Pulmonalarterie Das Blut fließt von der Aorta durch den PDA im Bild nach oben und vermischt sich dort mit dem von "oben" nach unten fließenden Blut in der Pulmonalarterie. Dadurch entsteht eine Turbulenz, gekennzeichnet durch die gelbe Mosaikfarbe.
Um ein besseres Verständnis für den Blutfluß zu bekommen, haben wir dieses Video bereitgestellt:
ECHO eines Persistierenden Ductus Arteriosus. Das Blut fließt von der Aorta aus (im Bild rechts unten) durch den PDA (in der Mitte des Bildes) und vermischt sich mit dem Blut der Pulmonalarterie, welches von oben nach unten fließt- so kommt es zu den im Bild erkennbaren Verwirbelungen in der Pulmonalarterie. Im Farbdoppler werden die Flussrichtungen angezeigt: rot zum und Blau weg vom Ultraschallkopf (oben im Bild)
Wie ist die Prognose bei einem PDA?
Obwohl manche Hunde mit einem PDA (= persistierender Ductus Arteriosus) jahrelang mehr oder weniger beschwerdefrei leben können, entwickeln die meisten unbehandelten Hunden früher oder später ein Herzversagen und sterben oft schon in jungen Jahren. Deswegen ist ein Eingriff in jedem Fall empfohlen, und zwar besser früher als später, bevor sich bereits Folgeschäden am Herzen gebildet haben. Wenn ein PDA verschlossen wird, haben die betroffenen Hunde eine ausgezeichnete Prognose und meist eine ganz normale Lebenserwartung.
Wie therapiert man einen PDA?
Ein PDA sollte normalerweise verschlossen werden, und zwar besser früher als später, bevor sich bereits Folgeschäden am Herzen gebildet haben. Erfolgt dieser früh genug, hat der Patient nach erfolgreichem Verschluss eine normale Lebenserwartung. Während früher die einzige Behandlungsmöglichkeit eine Operation am offenen Brustkorb war, kann heute dieser Defekt oft mittels Katheter verschlossen werden. Dabei wird ein Katheter durch die Arterie an der Schenkelinnenseite zum Herzen vorgeschoben. Dies ist das von uns durchgeführte und empfohlene Verfahren, da es wesentlich weniger invasiv als ein chirurgischer Verschluß ist und eine geringere Komplikationsrate hat.
Der Verschluss kann somit interventionell mittels Katheter erfolgen. Wir führen bei uns den PDA Verschluss mittels Katethern in der Tierklinik der LMU sehr häufig durch. Das momentan empfohlenene Verschlußverfahren ist mittels sogenannten Amplatzer Duct occludern.
Hier wird ein kleines Drahtkörbchen über einen Katheter in den PDA verbracht und dieser damit verschlossen.
Bei kleineren Tieren, bei denen die Gefässe sehr klein sind, wenden wir auch noch gelegentlich das Coil Verfahren an, bei dem eine Metallspirale in den PDA gesetzt wird.
Desweiteren gibt es die Möglichkeit des chirurgischen Verschlusses. Hierbei muss die Brusthöhle eröffnet und der PDA abgebunden werden. Diese Art des Verschlusses wird vornehmlich bei kleinen Patienten < 2 kg Körpergewicht oder bei einem für den Katheterverschluss nicht geeignet geformten PDA angewendet.
Patienten, bei denen bereits ein Lungenödem besteht, sollten vor einer Operation medikamentös stabilisiert werden. Oft kann die medikamentöse Therapie nach dem Verschluss reduziert oder sogar abgesetzt werden.
Die Kosten für einen PDA Verschluss belaufen sich inkl der Voruntersuchungen je nach durchführender Klinik auf 2000 - 3500 Euro.
Menu
